Виниры - путь к идеальной улыбке.
Красивые, ровные и белые зубы голливудских знаменитостей – предмет зависти многих. А для тех, кто предпочитает тихой зависти активные действия, стоматологи создали виниры.
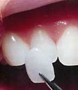
Что же это такое? Винир – это тонкая керамическая пластина, которая крепится на фронтальную поверхность зуба с целью улучшения его цвета и формы. В зависимости от нужного Вам эстетического результата виниры могут быть прозрачными и непрозрачными, а огромная гамма оттенков поможет подобрать подходящий именно Вам цвет.
Мало кто знает, что прообраз виниров был в распоряжении голливудских звезд еще в 30-х годах ХХ века. Тогда актеры приклеивали к передним зубам специальные зубные накладки прямо перед съемкой, делая свою улыбку ослепительной. И хотя те «виниры» держались недолго, их использование во многом способствовало созданию мифа о «голливудской улыбке».
Сегодня современная стоматология при помощи виниров позволяет навсегда закрепить эффект роскошной жемчужной улыбки. Современные композитные виниры не требуют сильной обточки зубов, виниры крепятся к поверхности зубов с силой, которая равна силе крепления естественной эмали к дентину.
Любые виды виниров (композитные, голливудские виниры на зубы в Москве или керамические) помогут избавиться от промежутков между зубами, истирания, клиновидного дефекта, сколов, нарушения формы зубов (например, при помощи виниров можно визуально удлинить короткие зубы), дефектов цвета, последствий травм и принятия антибиотиков, также они помогут закрыть старые пломбы на фронтальных частях зубов. На винирах не появляются пятна и они никогда не изменяют свой первоначальный цвет. После установки виниров зубам не страшны вино, табак, кофе и чай, а керамическая поверхность настолько гладкая, что зубной налет на ней практически не скапливается - зубы, одетые в виниры, нетребовательны в уходе.

Очень часто виниры используют в тех случаях, когда потемневшая эмаль не поддается никаким процедурам отбеливания зубов. Главным преимуществом виниров является то, что в отличие от коронок они не требуют удаления нерва и обтачивания зуба, перед их установкой достаточно легкой шлифовки эмали. Зубы приобретают идеальный цвет и форму, но при этом остаются живыми.
Виниры бывают двух видов: непрямые и прямые (по способу изготовления)
Непрямые виниры изготавливаются по оттиску в лаборатории. В первое посещение врач и пациент определяют желаемые цвет и форму будущих виниров. Далее под анестезией зубы препарируются - с них снимается очень тонкий слой эмали, после чего изготавливаютсяслепки зубов. При помощи этих слепков в лаборатории изготавливают керамические виниры
В ОАО «9-я стоматологическая поликлиника» делают виниринговое покрытие зубов фотополимерным композиционным материалом прямым методом. Этот метод широко применяется для художественной реставрации зубов. Прямые виниры: изготавливаются непосредственно во рту. На зубы наносится послойно материал, тот же, который используется для пломбирования, только специально созданный для фронтальных зубов. Он прекрасно полируется и имеет большую цветовую гамму. Реставрация прямым методом производится в одно посещение стоматолога.
При установке виниров не травмируются и не меняют свой цвет десны, ведь виниры успешно имитируют светопроводящие свойства натуральной эмали – свет, попадающий на поверхность керамического винира, проникает на определенную глубину, а затем отражается от непрозрачного цемента и зубной ткани, к которым прикреплен винир. Такой зуб визуально ничем не отличается от натурального.
Подведем итог:
Установка виниров позволяет сделать Вашу улыбку идеальной, скрыв различные эстетические недостатки. При этом Вы можете вести привычный образ жизни, поскольку функциональность зубов практически не ограничивается.





